文章来源:宁夏牛皮癣医院 发表时间:2016-07-01
宁夏哪家医院治疗牛皮癣比较好?大家都知道牛皮癣是非常复杂多样的,牛皮癣不但发病原因非常的多样,而且牛皮癣的症状也是非常多样的,所以患者需要积极的了解患者的病情做出准确的治疗对患者的病情是非常关键的。希望患者能够积极治疗早日治好。下面就让牛皮癣医院的医师为我们介绍一下初期牛皮癣症状。

宁夏哪家医院治疗牛皮癣比较好?
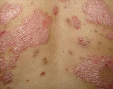
1、一般情况下,牛皮癣初次发作时,总是表现为针头至扁豆大的炎性扁平丘疹,然后再慢慢的扩大,而后逐渐增大为钱币或更大淡红色浸润斑,境界清楚,上覆多层银白色鳞屑。
2、也有一些患者的症状会呈现出呈红色,这种牛皮癣被人称之为红皮型牛皮藓。一般皮疹有少量渗液,附有湿性鳞屑,或初起为小脓疱。
3、牛皮癣可在身体任何部位的皮肤出现损害迹象,但是一般好发于肘、膝关节伸侧、头部等部位,而且一般皮损都是呈对称性分布的。
4、牛皮癣的症状有的患者就会泛发全身各处,但主要是以四肢的伸侧较普通,特别是牛皮癣患者的肘部,有的就会对称发生,和骶尾部,一些患者的头皮损害也常见,可单独发生,也可以和全身的损害并存。头部损害界限清楚,头发呈束状,但不脱发。
宁夏哪家医院治疗牛皮癣比较好?初期的牛皮癣症状有很多,患者想要对自己的病情有全面的了解就必须要对初期牛皮癣症状有相关的了解,牛皮癣难治,所以患者要尽早治疗,尽早治好。通过以上医师的介绍,希望对患者有帮助,如果患者还有其他问题请与我们的客服联系。
本文由放心医苑网(http://www.fjy17.com/pfb/nxyy/)宁夏牛皮癣医院 整理发布,如有转载,请注明出处。
前一篇:宁夏有治疗牛皮癣的医院吗
后一篇:宁夏看牛皮癣比较好的医院