文章来源:湖北牛皮癣医院 发表时间:2016-07-01
湖北牛皮癣医院哪家好:牛皮癣在生活中还算是比较常见的皮肤病,牛皮癣的治疗比较困难。所以患者要尽快的进行治疗。避免牛皮癣对患者的造成更大的危害。那么,牛皮癣的危害有哪些表现?下面就由医生为您解答。

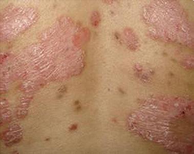
牛皮癣的危害有哪些表现?
1、导致关节损害
医生指出,牛皮癣的发生会导致患者出现类风湿关节炎的症状,如关节活动受限、关节肿大疼痛、变形、晨僵、有积液等,但患者经类风湿因子检查结果会呈现阴性。关节型牛皮癣的病程一般时间较长,而且不容易被治愈,还容易导致某些患者最终出现残疾,需要引起重视。
2、导致全身侵害及继发感染
红皮病型牛皮癣对患者的影响是牛皮癣的危害之一,且危害性严重。红皮病型牛皮癣发生会使患者的血液粘稠度增高、血容量不充足等,很容易导致患者出现心力衰竭而死亡;由于肝肾功能发生衰竭,也容易导致患者死亡的发生;同时由于大面积患病部位受细菌入侵,还容易导致患者出现败血症。
3、引起营养不良
牛皮癣患者发病时会发生皮肤大量的脱屑,由于皮屑的主要成分为蛋白质、叶酸和维生素等,因此,如果患者的牛皮癣多年不能治愈或治疗、护理不当造成牛皮癣症状的大面积扩散,会造成鳞屑脱落更加严重,从而引发患者的营养不良,并且会伴有倦怠、乏力和面色苍白等症状。
湖北牛皮癣医院哪家好:以上就是“牛皮癣的危害有哪些表现?”的相关内容。牛皮癣对患者的危害远远不止外貌以及心理上的。患者如果对牛皮癣不管不顾,任由其发展,越往后对患者的危害越大,甚至会对患者的生命产生威胁。如果您还有任何疑问,可以在线咨询专家,专家会一一为您解答。
本文由放心医苑网(http://www.fjy17.com/pfb/hubyy/)湖北牛皮癣医院 整理发布,如有转载,请注明出处。
前一篇:湖北最好的牛皮癣医院
后一篇:湖北哪家医院治牛皮癣好